Super Enamel®︎スーパーエナメル |
健康な歯を削らずに白く美しくすることができます!!
強度のある極薄の人工素材を、歯の表面に特殊接着剤で貼り付けます。
条件が整えば2回の通院で治療が完了するのも魅力的です。
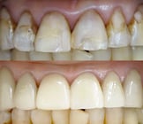
患者さまのお悩みで非常に多いのが「歯を白くキレイにしたい」というもの。歯を白くキレイな形にするには、表面を大きく削り何かをかぶせる方法が一般的です。
「健康な歯は、削りたくない」というのが私達の考えです。今までは健康な歯を削らずにご希望どおりにすることができずにいましたが、時と共に格段に技術が進歩し、歯を削らないでも歯を白くキレイにすることができるようになりました。
それが Super Enamel®︎スーパーエナメル です
従来のべニアのように、大きく削る必要はありません。天然歯を温存したまま、歯を白く美しくすることができます。歯にとても優しい治療方法です。
最薄部は0.1mm〜とコピー用紙なみの薄さで、なだらかなステップで歯と歯ぐきの境目をカバー。
素材の種類も豊富で、人気があるのはジルコニアです。人造ダイヤモンドの原料としても使われる非常に硬度の高い高級素材です。
正しくお手入れすれば、10年以上使い続けることも可能です。
カレーやコーヒー等で素材内部まで色が染まる心配もありません。
「歯を削る」という工程がないので、施術時間も短縮されます。虫歯などがある場合は、あらかじめ治療しておくことが大切です。
技工所は日本国内です。約3〜4週間ほどでフルオーダーメイドのスーパーエナメルが届きます。
素材の種類とセメント(接着剤)を実物を見ながら選んでいただけます。ご希望にそった理想の歯になるよう組み合わせをアドバイスいたします。
透明性の低い素材やセメントの組み合わせで、下地となる歯のトラブルをカモフラージュすることができます。
スキッ歯、倭小歯(普通サイズより小さい歯)に最適です。
歯の硬い表面に極薄のスーパーエナメルを貼りつけるので、虫歯の原因菌が天然歯まで届きません。
滑らかな表面のために汚れも付着しにくく、お手入れもしやすくなります。毎日の歯磨きに費やす時間も短縮できます。
スーパーエナメルは確かに安くはないかもしれません。けれども一度、施術してしまえば将来にわたり長く使用が可能で、他の治療法と比較すると生涯コストはむしろ経済的といえるでしょう。
エナメル質は虫歯予防にとってとても大切な存在です。従来のべニアのように象牙質が剥き出しにならないので、歯を守る効果があります。
スーパーエナメルの場合、キワ部分は極薄で美しいステップライン形状になっています。汚れが溜まりがちな歯と歯ぐきの境目にぴったりフィット。
天然エナメル質を保持しつつ、歯ぐきとの境目(マージンライン)もガードできるので、従来のラミネートベニアに比べると虫歯になりにくいのです。
もちろんどのような審美治療でもアフターケアは必須です。アフターケアありきでお口の中がいい状態に保てるのですが、スーパーエナメルはアフターケアもしやすくなるのも嬉しいところです。
| ▼比較項目 |
スーパーエナメル |
ホワイトニング | ホワイトコート | ラミネートべニア |
| 歯への影響 | ★★★ 歯を削らない | ★ | ★★ | ★ 歯表面を削る |
| 持続性 | ★★★ 長期 | ★ 短期間用 | ★ 短期間用 | ★★ |
| 耐久性 | ★★★ 擦り減りなし | ★ 色調整に難点 | ★ はがれやすい | ★★★ |
| 色調 | ★★★ 豊富 | ★★ 色指定不可 | ★色が少ない* | ★★★ 豊富 |
| 色調持続 | ★★★ 変色なし | ★ 長くて数か月 | ★ 変色する | ★★★ 変色なし |
| メンテナンス | ★★★ 防汚効果あり | ★★ 定期的に必要 | ★ 剥がれる | ★★ |
| 虫歯予防 | ★★★ 境目をカバー |
★★★ 殺菌効果 |
★ 汚れがつく | ★ 境目に不安要素 |
| 施術時間 | ★★★ 型を取るだけ | ★★ 回数が必要 | ★★ 塗布長時間 | ★ 歯を削る時間が長い |
| 経済性(単価) | ★ | ★★ | ★★★ | ★ |
| 経済性(生涯費用) | ★★★ 長く持つ | ★ | ★ | ★★★ 長く持つ |
| 適応部位 | 上前歯アーチ | 上下前歯アーチ | 上前歯アーチ | 上下前歯アーチ |
(注)この比較表はあくまでも一般的な指標であり、固有のサービスを指したものではありません
「天然歯を残して白くしたい…」
私達の願いがついに叶う時代になりました。
極薄化により、天然歯を削らない装着が可能に。
また、天然歯の形態的な欠点(ガタつき・スキッ歯)を修正できる効果もあります。(スーパーエナメル矯正)
従来のラミネートべニアでは実現できなかった薄さと硬度(600-1200MPa)を実現。特に虫歯になりやすい歯ぐきとの境目(マージンライン)は紙のように薄い形状です。
高い技術性のため、スーパーエナメルを作れるのは国内でも少数の歯科技工士だけです。(特許取得済)
※Mpa(メガパスカル):曲げ強さの単位
認定医だけが施術できるスーパーエナメル。自分の歯のエナメル質を残せるので、将来的に安心感があります。
施術後はスーパーエナメルを長く愛用していただけるよう、お手入れの指導をいたします。
地域に根ざした、「かかりつけ歯科医機能強化型歯科診療所」の認定を受けた歯科医院だからこそアフターケアにも強みがあります。
