長さが短かい小粒な歯だったので、歯ぐきを1mm切除してモデルさんのような縦長の歯にしました。
肌色に映えるキラキラしたイメージに変わりました❤︎
|

Q. 「スーパーエナメル」を体験してみて第一印象はどうですか?
A. 「キレイになってる」と実感が湧くのは、やっぱり写真を撮ったときですね。嬉しくなります!
それと、ふと鏡を見る時、「白くてキレイになったなぁ!」と思い嬉しく自然と笑顔になれます。
友達からも「歯がとてもキレイだね!」とほめられることが多くなりとても嬉しいです。
Q. デメリットはありませんか?
A. じつは、今回まったく歯を削っていないので「もしかして厚みが若干でるかな?」と少し覚悟していました。0.3mmの厚みのことは事前にお聞きしていたので…。でも、結局そんな心配は必要なくて。横からみても不自然さはないでしょう?
話す時、食事の時も違和感がなく、じつは施術前とまるで変わらない感覚なんですよ。
Q. お手入れの面は?
A. 意外だったのは、スーパーエナメルの表面がツルッとしているので汚れが付着しにくいこと!汚れたときは、以前の自分の歯よりもわかりやすいですね。これはお手入れのタイミングを逃さないな、と。嬉しい誤算でした(笑)スーパーエナメルを付けたことでお手入れが面倒になることはなくて、白くてキレイな歯を鏡で見ながら楽しく歯磨きしています。
Q. 施術はこわくなかったですか?
A. 痛い治療ではないので全然こわくなかったですし、むしろエステ感覚でリラックスでき、しあわせな時間でした。これは歯科治療が苦手な方でも抵抗ないだろうなと思いました。
Q. 最後に体験者としてお聞きします。友人におすすめできますか?
A. はい、おすすめできます。自分の歯を残せるというのは、すごくメリットを感じました。大きく削って、被せて白くする方法なら、従来からありました、芸能人みたいな?でも、安全性や将来への不安とか考えると、むし歯がない歯を削るというのは私には結構ハードルが高くて…。
その点「スーパーエナメル」なら削らないので安全性が高いですし、安心感と自然な美しさの両方が得られるので。
【あとがき】インタビューでのKさんは、明るい表情でにこやかに語ってくれました。やはり、歯に自信を持てたという体験が、素敵なオーラとなって伝わるようなひと時でした。
|
Q. 「スーパーエナメル」にしていかがですか?
A. 歯磨きが楽になりました。今までは歯を磨いても汚れが落ちにくく、歯はザラザラしていてこれが普通だと思っていましたが、今は歯がツルツルで、汚れがすぐに落ちます。定期検診でも磨き方が良くなったと言われるようになりました。
Q. デメリットはありませんか?
A. 今のところありません。他の人に自分の歯ですか?と聞かれ、なんと答えていいか困ることがあります。
Q. 治療をお考えの方へメッセージはございますか?
A. 専門家でないので良くわかりませんが、今までのようにむし歯ができないような気がします。
小学校の頃に前歯のすき間をプラスチックで詰めたけど、色が変わってしまって気になる…。でも、歯の治療はそれ以来したことがないので、こわくて…。削るのは絶対避けたい…。
そのような娘様のためにお母様がインターネットで調べてたどり着いたのがスーパーエナメルでした。
|
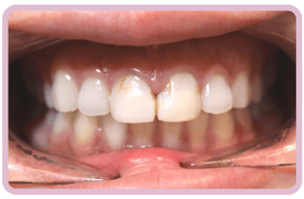
お仕事が忙しく歯磨きがおそろかになってしまったそうです。これを機会に改善していきたいということで、歯ぐきをまず落ち着かせていくことをご提案しました。
前歯は隙間に、プラスチックが詰めてあり、色が変わってきています。プラスチックは汚れがつきやすいので、歯磨きが難しく歯ぐきが腫れて、丸く膨れ上がっていました。そのため歯が余計に短く見えていました。向かって右側(左上の前歯)の歯のプラスチックを一部切削して歯磨きをしやすくして、定期的に歯のクリーニングを行いました。
定期的な通院で少しずつ歯科治療にも慣れて、磨き方も上手になってきました。とても一生懸命に頑張って下さいました。
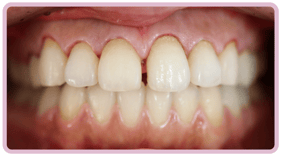
歯ぐきがキレイになったので、古いプラスチックを除去しました。前歯にすき間はありますが、元々のご自身の歯はむし歯もなくキレイでした。詰め物のせいで、むし歯っぽく見えていただけでした。
短い歯を長くみせるために歯ぐきを1.5mm(ポケットの深さの範囲内)切除(レーザー使用)しました。
かなり縦長な歯になりました。歯並びだけであれば矯正で十分キレイになります。ただ、ご希望は白くてキレイな形の歯ということなので、予定の変更はなくスーパーエナメルを施術することになりました。
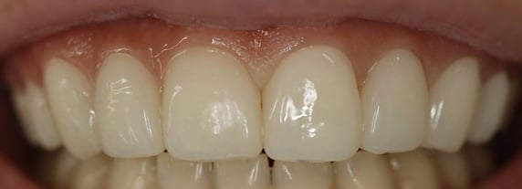
健康な歯ぐきにキレイな白い歯はとても美しいですね。スーパーエナメルは2回で終わる治療ですが、お口の中のコンディションによっては、下準備に時間がかかる場合もございます。
もしB様が急いでコンディションが整わずに施術をしていたら、B様の魅力がさらにアップする口元にはならなかったかもしれません。
この状態をキープできれば、とても長持ちすると思います。
笑う時に前歯を気にして手で口元を隠していたそうですが、施術後は手で口元を隠すことがなくなったとおっしゃるB様の笑顔はとてもキレイでキラキラ輝いていました。
セメントを左右で違う色のセメントを使っています。向かって右の色の方がより白いセメントを使っています。
セメントを変えるだけで、向かって右はホワイトニングをしたようなマットな白さでご自身の歯の色が遮られています。左側は透明感のあるセメントを使っているため、ナチュラルな天然歯寄りの白さと印象を変えることができます。
画像ではわかりにくいかもしれませんが、接着する前に実際にセメントの色の違いを体験していただき、ご自身の好みの色を選んでいただけます。
スーパーエナメル施術後のA様と★記念撮影★
当院の歯科衛生士のKさんもスーパーエナメルをつけていますので比較ができます。
選ぶ歯の色・形態・セメントの色により雰囲気も全く違うのがわかりますね❤︎
